医療コラム
MRI/CT検査・画像診断に関して、日常の診察や検査ご予約時にお役立ていただける医療情報をお届けします。
【注目文献レビュー 】犬の血管肉腫:後腹膜と肺転移の新知見
最近後腹膜血管肉腫に意外と遭遇するのでおすすめの報告を
先日母の日に母と二人でちょっといいランチに行ったところ、鱧が出てきました。初夏ですね。
皆さんの目がまわる様な忙しい春も少しは落ち着きましたでしょうか?
1つお知らせを!6月よりWeb予約で無麻酔CTがご予約いただける様になりました。検査の性質上、予約確定の際に詳しくご案内させていただく事があると思いますが、どうぞよろしくお願いします。
→WEB予約はこちらから
それでは今月は「血管肉腫」に関する報告を2つご紹介します。
一つは後腹膜血管肉腫の予後について、もう一つは血管肉腫の肺転移にフォーカスした報告です。
どちらもFree articleですので、気になる方は全文で
https://pmc.ncbi.nlm.nih.gov/articles/PMC11185220/
(当社の馴染みの深いJARMeC名古屋の古川先生の報告です!)
https://pubmed.ncbi.nlm.nih.gov/39362269/
血管肉腫といえば、最も多いのが脾臓であり、体表や心臓(右心耳)、肝臓も多く、さまざまな臓器で報告されています。血管肉腫は診断時の転移率が非常に高く、原発がどこか断定できないことも多いのですが、後腹膜血管肉腫に関しては予後がいいんじゃない?と思っていたので、この報告をみて嬉しかったです。
文献紹介(1)
Prognostic value of tumour‐related factors associated with canine retroperitoneal hemangiosarcoma in comparison with other anatomic presentations: A retrospective observational study
他の解剖学的部位に発生する血管肉腫との比較による、犬の後腹膜血管肉腫に関連する腫瘍因子の予後的意義:後ろ向き観察研究
Furukawa T, Shiotsuki A, Okada Y, Nibe K, Tei M, Anazawa T, Yoshikawa M, Ono K, Hirao H.Vet Med Sci. 2024 Jul;10(4):e1495
<背景/目的>
犬の後腹膜血管肉腫(retroperitoneal hemangiosarcoma, RPHSA)は稀な腫瘍であり、予後や関連因子についての情報は限られている。RPHSAの腫瘍関連因子(腫瘍サイズ、破裂、隣接組織への浸潤、リンパ節転移、遠隔転移)の予後的意義を明らかにし、それを脾臓および肝臓の血管肉腫と比較した
<対象と方法>
■ 対象:血管肉腫HSAと診断された犬195頭のうち、外科単独治療を受けた90頭
(後腹膜:10、脾臓:71、肝臓:9)
■ 評価指標:腫瘍サイズ・破裂・浸潤・リンパ節転移・遠隔転移の有無
<結果>
■ 中央生存期間(MST)⇒ 有意差はなかったが、後腹膜HSAは予後良好傾向
➤後腹膜HSA:175日
➤脾臓HSA:57日
➤肝臓HSA:81日
■後腹膜HSAにおける唯一の有意な予後因子
腫瘍サイズ ≥5 cm → MSTが長い(195日 vs. 70日, p = 0.003)
■ 脾臓及び肝臓の血管肉腫と比較
➤原発が脾臓や肝臓の方が予後不良
➤後腹膜病変は腫瘍サイズ ≥5 cm(HR = 0.53)の方が予後良し
<出典:Veterinary Medicine and Science: Volume 10, Issue 4 https://doi.org/10.1002/vms3.1495 >
今回の報告で、脾臓や肝臓の血管肉腫と比べ、後腹膜血管肉腫の中央生存期間が長い傾向が示されました(やっぱり!)。今まで後腹膜血管肉腫の予後はばらつきがありましたが、この報告を総合するとやはり予後はちょっといい感じがします。
また、一般的に病変の大きさは悪性度や転移性と相関しますが、後腹膜血管肉腫では必ずしもそうではない様です。スペースに余裕があり腫瘍増殖に余地があり、破裂や遠隔転移起こしにくいのではないかと考察されています。
文献紹介(2)
では2本目
Computed tomographic features of pulmonary and extrapulmonary lesions can be useful in prioritizing the diagnosis of hemangiosarcoma metastases in dogs
肺および肺外病変のCT所見は、犬の血管肉腫転移の診断に有用である可能性
Mattolini M, Citi S, Franchi R, Meucci V, Carozzi G, Gianni B, Caleri E, Rossi F.Am J Vet Res. 2024 Oct 3;85(12)
<背景/目的>
犬の血管肉腫における肺転移および肺外転移のCT所見を評価、診断や鑑別診断の優先順位決定に役立つ特徴を明らかにする
<対象と方法>
対象:HSAが組織学的に確定され、かつ肺転移が疑われるか、細胞診/病理診断で転移が確認された犬33例
CT:全身CT(造影前後)、8頭は三相造影CT(動脈相・門脈相・遅延相)
<結果>
■肺転移(全例にあり)
➤1cm未満、10個以上の結節が非常に多い
➤72.7%にhalo sign(周囲にスリガラス様の陰影)!!
➤ ほとんどの結節に肺動脈分枝の連続がみられる
■肺外転移(23/33頭にあり)
➤ 肝(42.4%)、脾(33.3%)、筋(30.3%)、腹膜/後腹膜(18.2%)
➤ SPLASH sign(造影後に見られる内部の点状・線状または不定形な高吸収領域)
肝:85.7%、脾:81.8%、筋:80%、腎:75%
➤骨転移(3頭)は骨溶解のみ
<出典:American Journal of Veterinary Research Issue: 01 Dec 2024 https://doi.org/10.2460/ajvr.24.08.0219>
考察では、肺転移の特徴としてhalo signやfeeding vessel signが示されています。
特に興味深いのはhalo signで、組織では出血を示していたそうです。血管肉腫の特徴として納得の所見ですね。
また、肺外転移で観察された、“SPLASH sign”は血管肉腫を鑑別する上で重要だと考察されています。造影後に強く増強される微小な所見は、原発巣と同じ特徴で、つまり転移にある程度の大きさがある場合、転移病巣からも血管肉腫を予測できるということだなと推測しています。

From: Mattolini M, Citi S, Franchi R, et al. Computed tomographic features of pulmonary and extrapulmonary lesions can be useful in prioritizing the diagnosis of hemangiosarcoma metastases in dogs. American Journal of Veterinary Research. 2024;85(12):ajvr.24.08.0219. doi:10.2460/ajvr.24.08.0219
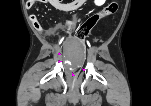
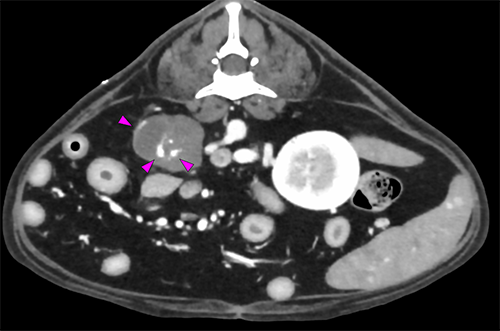
では、最後に後腹膜の血管肉腫の画像と肺転移の動画を!
後腹膜ってどこ?と思われるかもしれませんが、体腔区分の話をするとすごく長くなるので、それはまたの機会に!

ジャックラッセル・テリア 12歳
骨盤腔内/後腹膜血管肉腫

フレンチ・ブルドッグ 12歳
右腎臓尾側・後腹膜血管肉腫疑い
ジャックラッセル・テリア 14歳
肝臓/脾臓/腎臓/筋肉/肺 血管肉腫疑い