医療コラム
MRI/CT検査・画像診断に関して、日常の診察や検査ご予約時にお役立ていただける医療情報をお届けします。
【創業20周年 特別連載コラム〜第7回〜】超音波ガイド下・CTガイド下細胞診
“CTと併せて細胞診もお願いできますか??”
“すみません、やってないんです。超音波もなくて。”
“じゃあCT検査だけですね、ちょっと検討します。”
“よろしくお願いします(予約入らなさそうだな。。。ごめんなさい)”
入社してから幾度となくこのやりとりを経験してきました。
個人的には超音波は大好きなモダリティーです。
元々画像診断をやろう!と決めたのは超音波の凄さを知ったからで、レジデントになってからも勉強したのは主に超音波でした。
当社で何度も細胞診導入の話は出ましたが、実際にはなかなか進みませんでした。
・そもそも超音波がない
・どうやってトレーニングしていくか
・リスクは?
・何かあったらどうしよう
色々な事を長い年月で解決・選択していって2023年7月から細胞診検査を開始する運びとなりました。
細胞診検査
まずは流れをご説明します!
➀ 予約時(または検査中)に細胞診が必要と判断した場合、主治医さまに相談します。
➁ 事前の血液凝固検査実施/確認(または当日キャミック)
➂ CT検査(時にはMRI検査)
➃ 超音波にて病変部確認(時にはCTも併用)
➄ 細胞診/生検を実施
➅ 簡易染色で確認 ※終了するか?再度FNAするか?
➆ 最後の穿刺から10〜15分後に超音波とCTにて出血や気胸の確認
➇ 覚醒へ
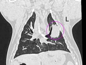
では実際の症例をご紹介したいと思います。まずは基本の肺の腫瘤性病変
症例1 フレンチ・ブルドッグ 8歳 避妊メス

<主訴>
慢性的な後肢ふらつきがあり、胸腰部MRIを依頼しようとしたら麻酔前検査で胸部に腫瘤形成が疑われた。
<CT所見>

肺野・左前葉前部に2〜3cmの腫瘤性病変
肺野に転移を疑う所見なし
リンパ節にも転移を疑う所見なし
<超音波所見>
▲肺腫瘤 左横臥にて
▲穿刺中
細胞診結果から異形成のある上皮細胞が採取されたので肺葉切除へ
病理組織結果は気管支腺癌でした。
症例2 Mix cat 14歳 避妊メス

<主訴>
1週間前より食欲低下、活動性低下
腹腔内腫瘤がありそう
<CT所見>

肝臓・内側右葉端に約3cmの腫瘤形成
膵臓全体的な腫大と充実感
他リンパ節に腫大なし
<超音波所見>
▲肝臓腫瘤 穿刺
細胞診結果から大型顆粒リンパ球性リンパ腫LGLと診断されました。
最後は神経症状から超音波下細胞診を行った一例です。
症例3 Mix cat 12歳 避妊メス

<主訴>
3カ月前よりくしゃみをするように
1カ月前より右外耳炎があり、治療反応が悪い
3週間前より食欲低下、瞬膜突出、両目視力消失
1週間前より飲み込みがうまく行かない(嚥下障害)、流涎
<MRI所見>

左右眼窩〜橋レベルの脳底部、右鼓室周囲から鼻咽頭、喉頭背側に続く増殖病変
左右の視神経〜三叉神経の巻き込み、右側舌咽/舌下神経への影響
伴う中耳炎、鼻咽頭の圧排/狭窄
<超音波所見>
MR画像だけでは針を刺す場所に自信が持てなかったので超音波を併用しました。

口腔内からは尾側で届きませんでしたので、超音波下で体表から細胞診を試みました。
悪性上皮性腫瘍疑いの結果で、扁平上皮癌の可能性が高いとの結果になりました。
最後に
さて 今年度コラムでは、キャミック20周年記念に因んで、この10年私たちが歩んできた技術・サービスの発展をお届けしました。
これらの全てに関わる事ができたことは、私にとって素晴らしい経験で、弊社や先輩方に対してとても感謝しています。
今あるサービスをより充実させること、皆さんの診断の一助となる様な新しいサービスを生み出していくこと、キャミック全体の技術を上げていくこと、以上をお約束したいと思います。
30周年記念では私の後輩が技術の歩みを披露してくれる事を願って、来年度も頑張っていきたいと思います。